
Die Implantologie – das Setzen der Implantate - gehört in die tägliche Routine der Facharztpraxis für Mund- Kiefer- und Gesichtschirurgie am Friesenplatz. Wir können zu fast jeder Situation eine sinnvolle Implantat getragene Lösung anbieten. Bei Bedarf setzen wir moderne, dreidimensionale Planungsverfahren ein. Diese ermöglichen eine minimal-invasive und komplikationsarme Vorgehensweise, die für Patienten höheren Behandlungskomfort und eine schnellere Genesung bedeuten kann.

Ein neuer Zahn soll nicht nur seine Funktion erfüllen, sondern gerade im Frontbereich von den natürlichen nicht zu unterscheiden sein. Ein ästhetisch perfektes Behandlungsergebnis ist hier besonders wichtig. Festsitzende, implantatgetragene Zähne sehen nicht nur aus wie eigene, sondern fühlen sich auch so an. Implantat, neuer Zahn und Weichgewebe bilden eine harmonische Einheit.

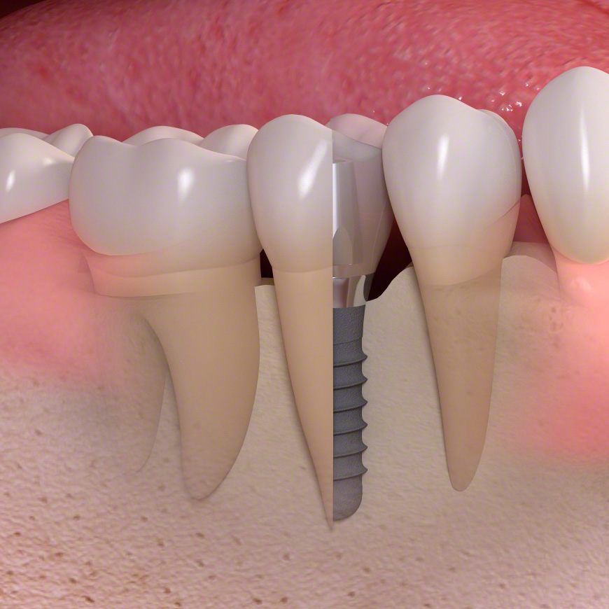
Wenn nicht nur ein Zahn fehlt, sondern gleich mehrere, muss die Zahnlücke auf jeden Fall geschlossen werden. Ansonsten drohen Knochenverlust und Zahn- und Kieferfehlstellungen. Implantate beugen Knochenverlust vor.
Ein weiterer Vorteil: gesunde Nachbarzähne müssen nicht beschliffen werden und bleiben erhalten. Wie viele Implantate bei einem Patienten verwendet werden, hängt von dessen Knochenqualität, der Anzahl der fehlenden Zähne und der gewählten Lösungsvariante ab.

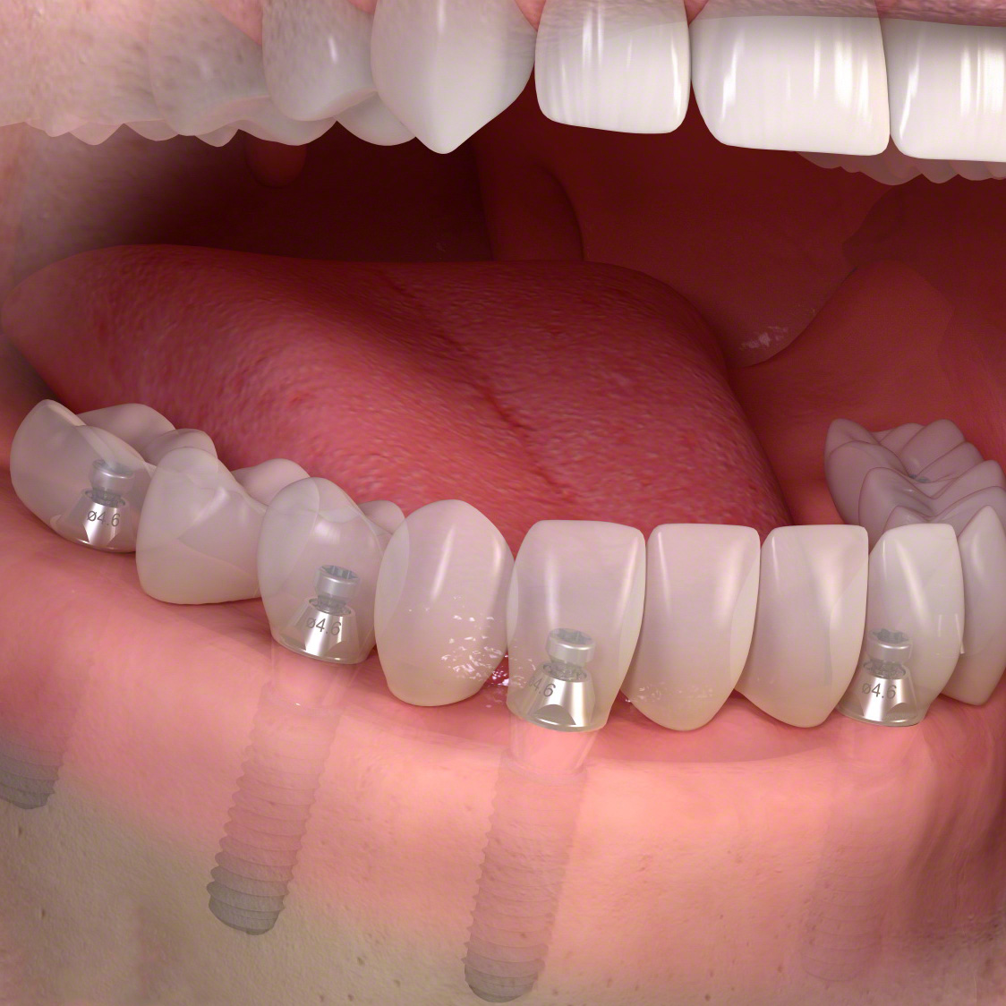
Patienten mit zahnlosem Kiefer haben zwei Möglichkeiten zur Auswahl: Eine auf Implantaten fest verschraubte Zahnreihe oder eine herausnehmbare implantatgetragene Prothese. Da in beiden Fällen der Gaumen frei von Prothesenmaterial bleibt, kann der Patient wieder sein ursprüngliches Geschmacksgefühl genießen.
Implantate geben auch der herausnehmbaren Prothese sicheren Halt. Die Implantate funktionieren wie die natürlichen Zahnwurzeln. Kein Verrutschen, keine Druckstellen, schmerzfreies Kauen: Patienten bleiben die Nachteile einer herkömmlichen Prothese erspart. Eine ästhetisch anspruchsvollere Lösung bietet eine auf Implantaten fest verschraubte Zahnreihe. Bei ausreichendem Knochenangebot schließen bei dieser Variante die Zähne mit dem Zahnfleisch ab.